Odontopediatría
¿En qué consiste la odontopediatria?
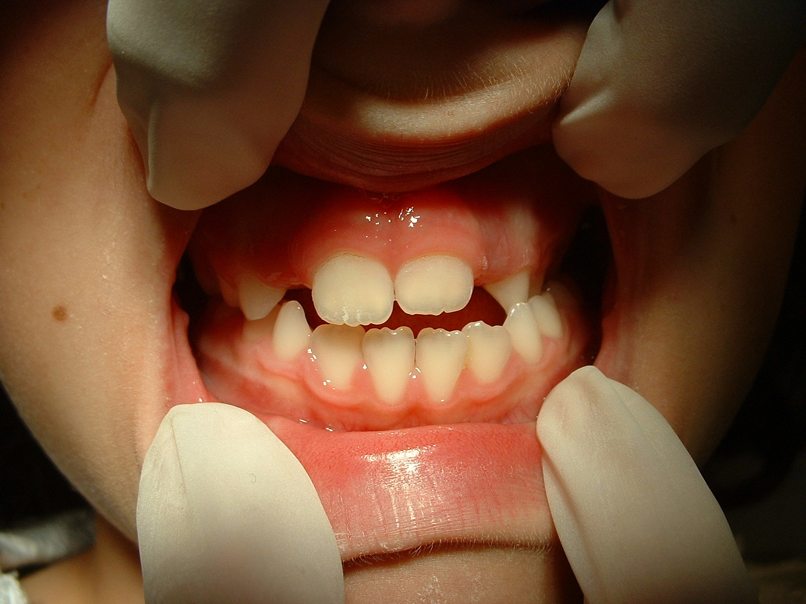
Son los tratamientos encaminados a la prevención, cuidado de la salud bucal de los niños y adolescentes. Los dientes temporales precisan, al igual que los definitivos, de tratamientos que abarcan desde las obturaciones (empastes) para reparar las caries hasta tratamientos de conductos (pulpotomía) para la resolución de caries muy profundas.
Nuestra odontopediatra recomiendan realizar una revisión cada 6 meses.
Entrevista a la Dra. Marta Valverde
Odontopediatra
¿Cuándo llevar a los niños al especialista?
Se dice que ya desde el embarazo es importante la prevención, educar a las mamás para prevenir la caries, que es la enfermedad bucal más frecuente en los niños. Yo siempre les explico a los papás que en cuanto hay dientes en boca, pueden aparecer caries. Cuando ya las detectan ellos, suelen estar tan avanzadas que muchas veces el tratamiento se complica e incluso el niño puede perder el diente.
En España, la mayoría de los pediatras recomiendan la primera revisión a los 6 años, que para mí es muy tarde, porque en niños con
riesgo alto de caries, éstas pueden aparecer mucho más pronto.
¿Cuáles son las ventajas de acostumbrar a los más pequeños al dentista?
La más importante es que estén familiarizados con nosotros, que vean el acudir al dentista como algo natural y vuelvan contentos. Por otra parte, esto nos permite inculcarles desde edades tempranas hábitos saludables de higiene y de alimentación.
Para algunos niños (y para algunos padres) venir al dentista o ir a cualquier médico puede ser todo un drama. El odontopediatra sabe cómo manejar al niño para que éste acuda contento, de forma que si en algún momento hay que hacer algún tratamiento, como el niño ya nos conoce, no le causará ansiedad.
¿Cuáles son los hábitos que hay que inculcar a los más pequeños?
Fundamentalmente hábitos de higiene y de alimentación. Es muy importante acostumbrar a los niños al cepillado, hay que limpiarles la boca desde que son bebés, con una gasa cuando no tienen dientes y después con cepillo. Hasta los 6-8 años los papás deben repasar porque ellos aún no tienen suficiente habilidad para hacerlo correctamente. Hay que cepillarse al menos 2 veces al día durante 2 minutos como mínimo.
Por supuesto, se deben evitar los azúcares en la medida de lo posible. Una vez que tienen dientes deben empezar a masticar, hay que evitar dietas demasiado blandas. Por otra parte, es muy importante saber, que aunque la leche materna es indiscutiblemente el mejor alimento para el bebé, cuando éste tiene dientes, al igual que cualquier alimento que contenga hidratos de carbono, ésta puede producir caries y hay que saber cómo se puede prevenir.
Por ultimo recordarles que la clínica dental de la Dra Reche, esta suscrita al PADI (Programa de Atención Dental Infantil) suscrito con el servicio madrileño de salud, con el fin de proporcionar una atención integral bucodental a la población infantil de entre 6 y 16 años, residente en la Comunidad de Madrid y que presente alguna de las condiciones clínicas incluidas en el programa. Así, los pacientes, que tras acudir al dentista de atención primaria requieran un tratamiento que esté estipulado dentro del convenio, podrán ser derivados por el odontólogo a los profesionales que estén acreditados ante el COEM de acuerdo con los requisitos establecidos en el convenio.
